三门相通会死人,人类离开哪个器官不会死亡?
发布时间:2022-01-24 阅读:131谢邀三门相通会死人。
对于这个问题,其实人类身体上有不少的器官都是可有可无的,他们在人类进化的历史里,在某一阶段可能很重要,但是随着人类的不断进化,许多器官的作用也在不断的弱化,到目前为止很多器官已经没有啥太大的意义了。
首先,排在首位的,大概要数男性的乳房了……
可以说,这个器官对于现在的人类而言,装饰意义大于实用意义,少了是不会有啥事的。
第二个,阑尾
人类进化是一条漫长之路。在远古时代阑尾是一个非常重要的器官,特别是对于消化功能。然而自从人类发明和使用了火,就开始吃煮熟的食物,消化已经变得很容易,阑尾就开始变得可有可无了。
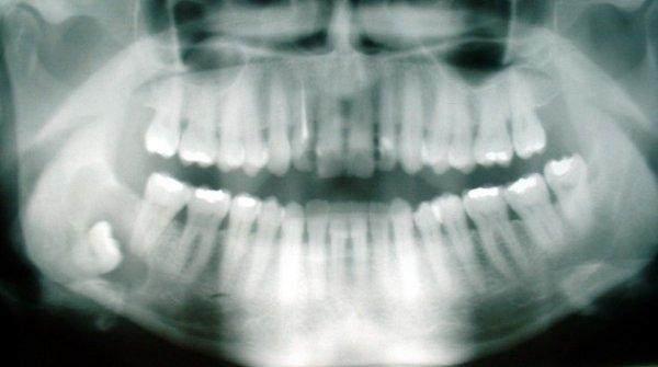
第三个,智齿
智齿是指人类口腔内牙槽骨上最里面的第三颗磨牙,从正中的门牙往里数刚好是第八颗牙齿。由于它萌出时间很晚,一般在16~25岁间萌出,这些牙齿没有什么用处,给我们带来的只有痛苦。智齿是人类进化的残余物,在人类还是洞穴人的时候也许有用。
第四个,立毛肌
当恐惧时立毛肌收缩,皮肤就会出现鸡皮疙瘩。一束束皮肤内的肌肉纤维能使动物把毛发立起来以隔热或用以恐吓别的动物,早期的人类同样具备这种本能,但随着人类的进化,这种功能逐渐失去了存在的意义,到如今只留下了受到刺激时起鸡皮疙瘩的习惯。
第五个,尾骨
这个东西的存在只是用来证明我们的祖先是有尾巴的……
第六个,扁桃体
扁桃体发炎我相信许多人都是经历过的,不过知道了他是无用的器官后,那些扁桃体及易发炎的人是不是想把他弄了?不过大部分人过30岁后扁桃体就萎缩了。
第七个,腺样体
着东西也是体内无用的器官,不仅无用,而且还有害,腺样体为一群淋巴组织,附着于鼻咽的顶壁和后壁交界处。如果儿童时期受到感染,腺样体会肿大和发炎,也可能造成永久性的肥大。腺样体肥大会妨碍鼻子呼吸,并影响鼻窦的排泄,而易患鼻窦炎,也可能导致中耳炎。
以上的距离只是人体内部分的无用器官,失去这些器官对于人类的生活基本没有影响。
如果按题目所说的,离开那些器官,不管是那个器官的失去都会导致人类的死亡,可能失去了一个肾脏的还可以活几年,但是绝对不能和普通人一样了。
所以说,大家一定要好好爱护自己的身体~




